If youve recently suffered a Tibial plateau Fracture this is the place for you. Recovery from Tibial Plateau Fractures.
It deals with the ups and downs of a traumatic injury explains terms and procedures provides resources and opportunity for others to share their story and tells MY story as an example and encouragement of what to expect when.
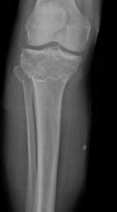
Tibial plateau fracture recovery blog. Tibial Plateau Fracture Recovery Blog. Looking at the above photo always makes me cringe when I think back to that fateful dayMay 20th 2017 Yes folks somehow I managed to acquire a tibial plateau fracture TPF This particular fracture makes up only 1 of all fractures. Just let that sink in for a bit.
Anytime you suffer a setback or disappointment put your head down and plow ahead Les Brown Follow my random notes in my recovery of a Tibial Plateau Fracture TPF also known as a broken leg. Blogger posts newest posts first so if you want to read from the beginning May 21 2010 read from the end to the beginning. Moreover there is no timeline that an injured sportsperson can go to check on the progress of their recovery.
To overcome this deficiency I have started this site which is dedicated entirely to the implications of tibial plateau fracture surgery and rehabilitation. It is aimed at people 50 but much will apply to those who are younger. It has been just over six weeks since I had surgery for the tibial plateau fracture in my right leg.
I wish I could say that it has been easy and that Im almost recoveredbut this is going to be a longer and tougher haul than I had originally thought. The X10 Meta-Blog. We call it a Meta-Blog In these articles we step back and give you a broad perspective on all aspects of knee health.
We explore surgery and recovery and such subjects as Tibial Plateau Fracture Recovery. This is a one-of-a-kind blog. We gather together great thinkers doers and writers.
Tibial Plateau Fracture Recovery Update. Moving on with life after a tibial plateau fracture. My first post of the new year.
Im glad I decided to journal my tibial plateau fracture recovery. I hope that it is helping those of you reading this in some way. I remember early on I feverishly searched for blogs of people who.
This blog narrates my journey and rehabilitation of a broken leg and knee specifically my tibial plateau fracture fracture of the proximal tibia and torn ACL. It deals with the ups and downs of a traumatic injury explains terms and procedures provides resources and opportunity for others to share their story and tells MY story as an example and encouragement of what to expect when. If youve recently suffered a Tibial plateau Fracture this is the place for you.
This site was created after having myself gone through the recovery process of Tibial Plateau Fractures and this site aims to contain information you need and want to know during Recovery. You can visit the forum to chat and share your story with others. Recovery from a Tibial Plateau fracture is different from person to person.
It depends very much on the exact type and specifics of injury your age prior issues level of physical activity physiotherapy nutrition and many other factors. Given all of these differences it is still quite safe to say that for most people if you the injury was. The length of time it takes to recover from a tibial plateau fracture depends on the severity of the fracture and your overall health.
Most fractures take 4 months to completely heal. In more severe cases it can take up to 6 months. Its important to strictly follow your doctors instructions to ensure that the bone heals properly.
Recovery from Tibial Plateau Fractures. Not all tibial plateau fractures require surgery. With or without surgery you will not be able to put weight on the broken leg for 6-12 weeks.
During that time you will need to pursue therapy to maintain some muscle strength and to work on ROM. The degree of ROM you will be able to attain is dependent on. That is why when composing your tibial plateau fracture recovery plan we confer with you your doctors and your surgical team to ensure that the plan is uniquely tailored to your needs.
Some of what we might incorporate could include manual therapy kinesiology taping state-of-the-art strength and conditioning equipment yoga therapy and. 15 Surprising Stats About Tibial Plateau Fracture Tibial Plateau Fracture Orthobullets Advanced Healing Institute Arthritis Sports Medicine Clinic advheal. Com Teleradiology 2nd Medical Opinion advheal.
Com 949-239-3206 Hi guys its Dr. D so in this video of teleradiology and second medical opinion we are going to talk about subtle tibial plateau fractures. Tibial plateau fracture recovery is relatively easier in this case it does not require surgical intervention and may heal within 3-4 months.
You just need to ensure that you do not bear any weight on your affected leg and wear a knee brace as well. Big step up from 3 to 4 and 5. CouldnĂt sustain 70 RPM at 5 for whole time.
About half and half. Recovery time for a tibia fracture typically takes 4-6 months to heal completely. If the fracture is open or comminuted healing time may take longer.
Your doctor will often prescribe medications for pain-relief for a short period of time after the injury or surgery. Tibial plateau fractures are usually classified with the six-type Schatzker fracture classification. 13 The AOOTA 14 proximal tibia fracture classification segment 41 is partially based on it and includes extra-articular a partial articular b and complete articular c fractures.
Schatzker Type I-II-III-IV should correspond to 41B. The tibial plateau is the upper portion of the tibia so the primary symptom would be pain just below the knee. At your age a traumatic event would be expected to cause the fracture.
These fractures are usually visible on a simple x-ray. Tibial plateau fractures requiring surgery are severe injuries of the lower extremity. Tibial plateau fractures have an impact not only on physically demanding jobs but notably on general professional life too.
The aim of this study was to assess how the professional activity of patients will be affected after a tibial plateau fracture. 39 consecutive patients ages 2061. Type IV is a fracture of the medial tibial plateau and carries the worst prognosis of all types.
This is due to the associated soft tissue injury that often occurs. It can occur in elderly patients with a low energy injury as the medial tibial plateau crumbles into fragments or in young people with high velocity accidents. Tibial Plateau Fracture Recovery has 4628 members.
ABOUT This group is specifically for people who currently have or have recovered from a Tibial Plateau Fracture also known as a TPF which is a fracture of the tibial bone at the knee joint. REQUESTING TO JOIN THIS GROUP Q1 and Q3 must be completed when requesting to join group.